구내염 원인 따른 종류와 증상



맛있는 것도 못 먹고 아리고 쓰리고 여러가지로 힘들고 짜증나시죠? 그런데 한마디로 구내염 이라고 해도 그 원인 따른 종류가 크게 4가지로 나뉘어진다고 합니다. 그러면 각각 나타나는 증상도 다를까요?
크게 원인 별로 나누어 보면 아프타성, 카타르성, 헤르페스성, 칸디다성 4가지 입니다. 이들 각각 구내염 원인 그리고 특징과 증상 들을 나누어서 확인해 보도록 하겠습니다.



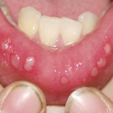
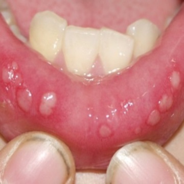
1. 아프타성 구내염
가장 많은 수를 차지하고 있습니다. 궤양성이라 부르기도 하는데 하얗거나 노르스름한 막으로 덮힌 염증이며 이 주변은 빨간 테두리가 보입니다. 뺨 안쪽, 혀, 잇몸, 입술 안쪽에 생기기 쉽고 1~2주 정도면 자연스럽게 개선되는 경향이 많습니다.
음식을 섭취하거나 음료를 마시면 쓰리면서 아린 증상이 나타납니다. 원인은 면역력 저하, 과로, 영양부족, 수면부족, 스트레스, 호르몬 불균형, 생리전, 임신 등으로 볼 수 있는데 면역력이 떨어져 있을 때 걸리기 쉽습니다.





2. 카타르성 구내염
물리적 자극으로 인해 발생합니다. 대표적으로 보면 껌을 씹거나 음식을 먹을 때 볼 안쪽을 씹는 경우가 있습니다. 또 이를 닦거나 치실, 치간치솔 사용 할 때, 뜨거운 음식을 섭취 등이 원인 인 경우 나타납니다. 비교적 통증은 적은 편이지만 신 음식, 자극적인 음식을 먹으면 아리고 쓰린 통증을 느끼게 됩니다.
3. 헤르페스성 구내염
헤르페스 바이러스에 감염되면 나타납니다. 접촉감염과 비말감염 등 사람에서 사람으로 옮기게 됩니다. 특히 어린아이는 생후 6개월에서 3살 정도까지에서 많이 걸리는 편이도 39도의 고열과 입안과 잇몸에 물집이 생기고 통증을 심하게 느낍니다.





4. 칸디다성 구내염
칸디다균은 우리 입안에 항상 존재하고 있는 균입니다. 그런데 여기에 면역력이 떨어지게 되면 그 여러 증상 중의 하나로 입안이 헐거나 하는 것을 볼 수 있습니다. 즉 면역력이 떨어진 시기에 칸디다균이 이상증식하는 것이 원인입니다.





입 안에 하얀 설태가 끼고 이것을 벗겨내면 피가 나거나 음식을 먹으면 통증을 느끼기도 하고 맛을 못 느끼기도 합니다.
이렇게 구내염 있을 때는 가능하면 매운음식과 신음식, 짠음식 그리고 단음식, 뜨거운 것과 딱딱한 것, 탄산음료, 술을 피하는 것이 좋습니다. 그리고 비타민B2, B6, C 가 많이 함유된 식품을 먹으면 좀 더 빠른 개선을 볼 수 있습니다.